医院动态 |
医院动态刻苦钻研,不断提高医疗服务技术 奋力前行,向三级医院迈进 ——神经外科成功完成一例矢状窦旁脑膜瘤切除术
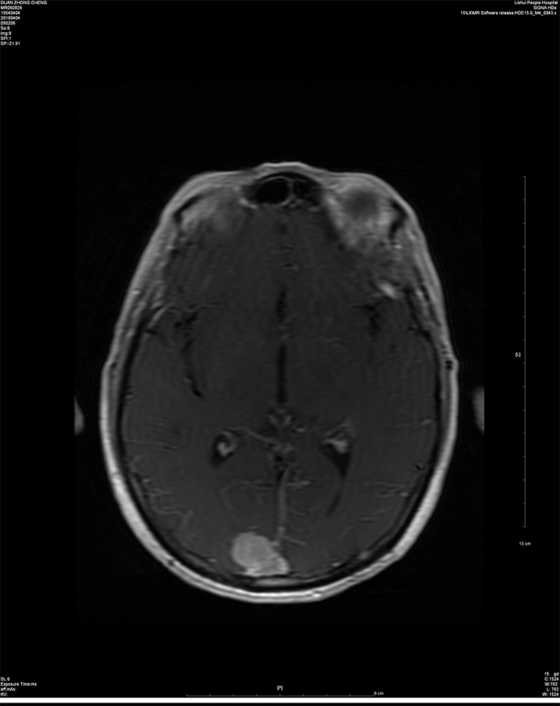
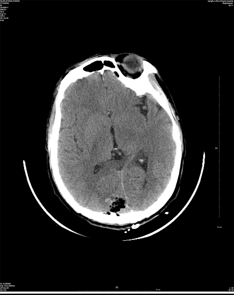
近日,我院神经外科成功完成一例矢状窦旁脑膜瘤切除术。 患者段某,男,64岁,已婚,南京溧水人。因“头晕一周,体检发现颅内占位一小时”入院。入院后经进一步完善检查,术前诊断考虑右侧顶枕部矢状窦旁占位:脑膜瘤可能。矢状窦旁脑膜瘤是肿瘤基底附着在上矢状窦并充满窦角的脑膜瘤。上矢状窦是大脑半球最重要的引流血管,不仅引流大脑半球皮质特别是中央前、后回等重要功能区的静脉血,而且也是脑脊液回流的最主要通道。该部位肿瘤因与上矢状窦及与很多汇入上矢状窦的大脑表面引流静脉关系密切,手术难度大,稍有不慎即可引起血管损伤破裂出血,甚至导致患者死亡等情况的发生,使得很多神经外科医师望而生畏。患者入院后,院长助理、神经外科赵鹏来主任带领全科人员仔细阅片、制定手术方案,科副主任杨平来主任医师、周立田副主任医师精心手术,最终顺利切除肿瘤。上矢状窦及引流静脉保留完好,无并发症发生,目前患者已康复出院。 近年来,神经外科在院领导及科主任的带领下,积极响应区里及院里的号召,刻苦钻研,努力提高医疗技术及服务水平,争创南京市医学重点专科,积极投入到创建三级医院的工作中,以满足我区人民日益增长的就医需求。目前,神经外科不仅能够开展常见的各类脑外伤、脑出血、脑肿瘤、脑积水等手术,同时已具备开展颈动脉内膜剥脱(CEA)及动脉瘤夹闭等特殊类型手术的条件和能力。神经外科将一如既往钻研新技术,以方便患者在家门口就医,提高社会满意度。
术前MRI
术后复查CT
上一篇:锦旗背后的故事——十年病痛一朝除 |





