医院动态 |
医院动态神经外科完成一例高难度后颅窝脑膜瘤手术
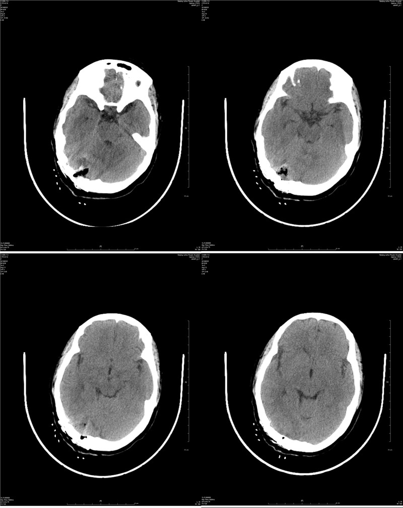
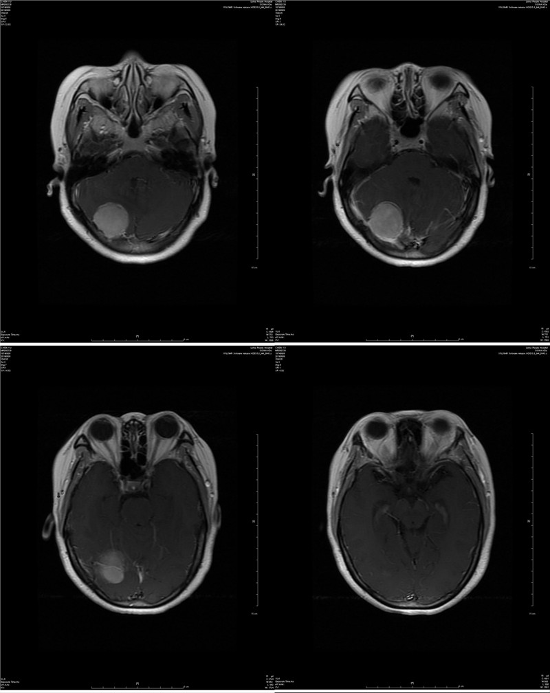
近日,神经外科收治了一例后颅窝跨天幕脑膜瘤的患者,经手术治疗后患者痊愈出院。这是我院独立完成的首例后颅窝脑膜瘤切除术,术后患者恢复良好,无手术并发症,这标志着神经外科在颅内肿瘤显微手术技术上又迈上一个新的台阶。 后颅窝是颅腔的一个特殊部位,有众多重要血管和神经穿行其中。此外,与幕上颅腔相比,后颅窝空间狭小,却容纳有脑干、小脑半球及除Ⅰ、Ⅱ神经外的所有颅神经,常因手术显露牵拉脑组织、术后脑水肿,造成严重后果,长期以来一直是神经外科手术的难题之一。 该患者一年多来偶有头疼头晕症状,经体检后发现颅内有一蛋黄大小肿瘤。患者家庭经济条件一般,子女尚未成家,面对一笔不小的手术费用深表担忧。床位医生周立田副主任医师对患者及家属耐心讲解,表示尽可能的控制住院诊疗费用,患者及家属终于打消了顾虑并决定在我院手术治疗。 经过缜密讨论研究,术前精心设计了手术方案,由神经外科杨平来主任医师、周立田副主任医师联手主刀,经过近6个小时不懈的努力和精细的操作,显微镜下成功全切肿瘤,并完整地保留了肿瘤压迫的重要引流静脉,手术取得圆满成功。 此例手术的成功开展,得益于神经外科团队技术的不断提升,神经外科将以此为动力,以精湛的医疗技术、最低的治疗费用和优质的医疗服务为溧水百姓的健康保驾护航!
上一篇:“不忘初心 诗歌颂祖国”活动我院荣获五个奖项 |






